【全ての歯を対象とするワイヤー矯正】確実な仕上がりと、ライフスタイルに合わせた治療
ワイヤー矯正は、長い歴史の中で最も信頼されてきた治療法です。当院では、データに基づいた「リアルな治療期間」と「リスクへの対策」を包み隠さずお伝えし、患者様と一緒に理想の歯並びを目指します。
1. ワイヤー矯正が選ばれる理由
-
「やり抜く力」が最も強い
マウスピース矯正のように「自分で取り外す」必要がないため、装着時間を気にするストレスがありません。難しい症例でも、最終的なゴールまで確実に歯を動かす力が最も強いのがワイヤー矯正の大きな特徴です。
-
難しい歯並びにも強い
抜歯が必要なケースや、骨格的な調整が必要な難しい噛み合わせでも、ワイヤー矯正ならミリ単位の緻密な調整が可能です。
2. 治療期間の目安
-
平均的な期間:約24ヶ月〜30ヶ月
実際の診察現場では、装置の脱落や通院のタイミングなどにより、この程度の期間になるのが一般的です。
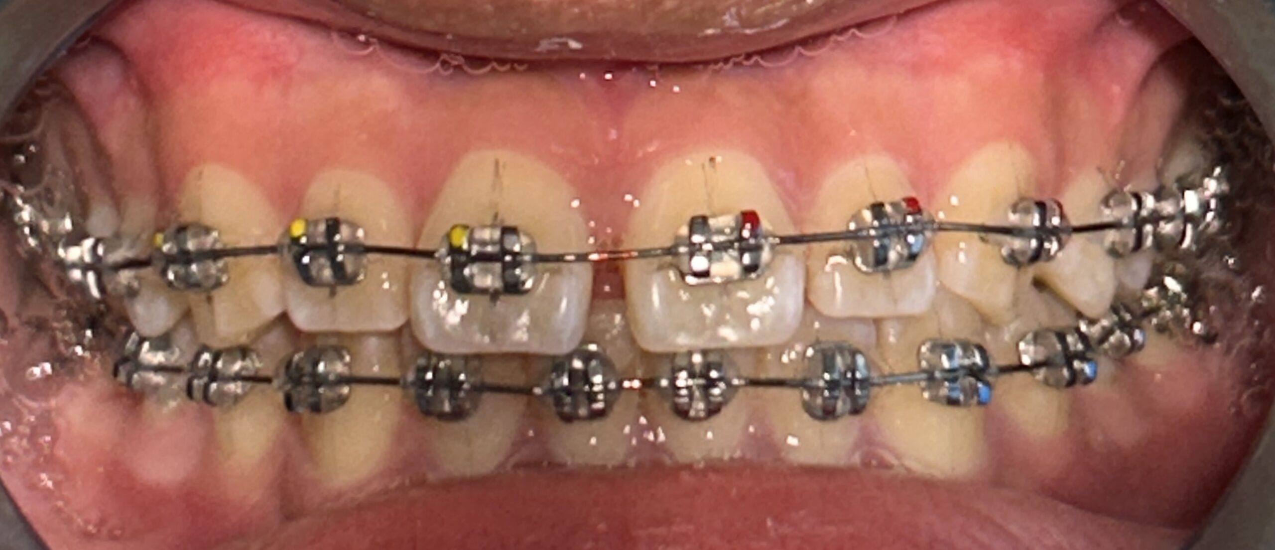
3. 知っておいていただきたいリスクと対策
ワイヤー矯正には、固定式だからこそ注意が必要なポイントがあります。
-
虫歯・白い跡(ホワイトスポット)への注意
装置がついている間は、どうしても歯が磨きにくくなります。何もしないと30〜50%の確率で歯に白い跡(初期虫歯)ができるというデータもあります。
当院の対策: 歯科衛生士による徹底したブラッシング指導と、定期的なプロによるクリーニングで、お口の健康を守ります。
-
歯の根っこへの影響
強い力で無理に動かすと、歯の根が少し短くなる(歯根吸収)リスクがあります。
当院の対策: 無理な力をかけず、歯の動きを精密にコントロールすることで、負担の少ない優しい矯正を心がけています。
歯科医師からのメッセージ
ワイヤー矯正は「自分で管理するのが苦手な方」や「仕上がりの精度にこだわりたい方」に最適な治療法です。メリットだけでなく、デメリットや期間についても正直にお話しした上で、あなたに最適なプランをご提案します。まずは無料カウンセリングでお悩みをお聞かせください。
当院の治療内容のご案内

当院では、主に「前歯の歯並びが気になる方」を対象に、奥歯の噛み合わせまで考慮した全顎矯正を行っています。最新の形状記憶ワイヤーを用いた効率的な治療が特徴です。
1. 当院の矯正治療の特徴
-
形状記憶ワイヤー(Ni-Tiワイヤー)による治療
形状記憶合金のワイヤーを専用の加熱装置で加工し、一人ひとりの歯列に合わせて最適な力を加えます。歯を効率的に、かつ負担を抑えて歯をいどうさせることが可能です。

-
「抜歯」を伴う症例にも対応
マウスピース矯正では難しい「抜歯が必要なケース」も、ワイヤー矯正なら確実性の高い治療が期待できます。
-
治療期間を短縮する「加速矯正」オプション
お急ぎの方には、骨に微細な刺激を与えることで歯の移動速度を1.5〜4倍に高める「加速矯正」もご用意しています。

2. 対象となる方(適応症)
以下の条件に当てはまる方が対象となります。
-
奥歯の噛み合わせが正常、または少し出っ歯傾向の方
-
出っ歯(上顎前突)の方(※奥歯の条件を満たす場合
【診断の際の C T撮影のお願い】
正確な診断のため、CTの撮影をお願いしております。診断の結果、骨格に大きな問題がある場合や難症例の場合は、提携する矯正専門医をご紹介させていただきます。
対象外となる例
-
骨格自体に大きな問題がある場合(顎変形症)
-
重度の受け口、開咬(前歯が閉じない)、歯が足りない(欠損)場合など
3. 治療プランと比較
当院では、ワイヤー矯正のほかに、軽度の方向けに「インビザラインGo(マウスピース矯正)」も取り扱っています。
| 項目 | ワイヤー矯正(全顎) | インビザラインGo |
| 得意な症例 | 抜歯が必要、大きく歯を動かす | 軽度のガタつき(叢生)、前歯のみ |
| 装置 | 固定式(取り外し不可) | 取り外し可能(自己管理が必要) |
| 移動の制限 | 効率よく複雑な動きが可能 | 歯の回転や大きな移動は苦手 |
| 目安期間 | 1年(非抜歯)〜2年(抜歯) | 数ヶ月(20枚程度の交換) |
4. 期間・アフターケア
-
治療期間
-
歯を抜かない場合:約1年
-
歯を抜く場合:約2年
-
-
加速矯正(オプション)
-
-
費用:片顎 33,000円(税込)
-
内容:骨に小さな穴を開けて代謝を活性化させ、移動を早めます。
-
-
保定(リテーナー)※非常に重要です 治療後の後戻りを防ぐため、リテーナーを装着していただきます。
-
当初:1日2時間以上装着
-
1年後以降:週に数回(綺麗な状態を維持したい間は継続を推奨)
-
5. 費用
-
基本料金:550,000円(税込)
-
調整料:月1回 5,500円(税込)
ご希望があれば、お提案書・お見積書を作成いたします。ぜひご利用ください。
